A sample of recent work.
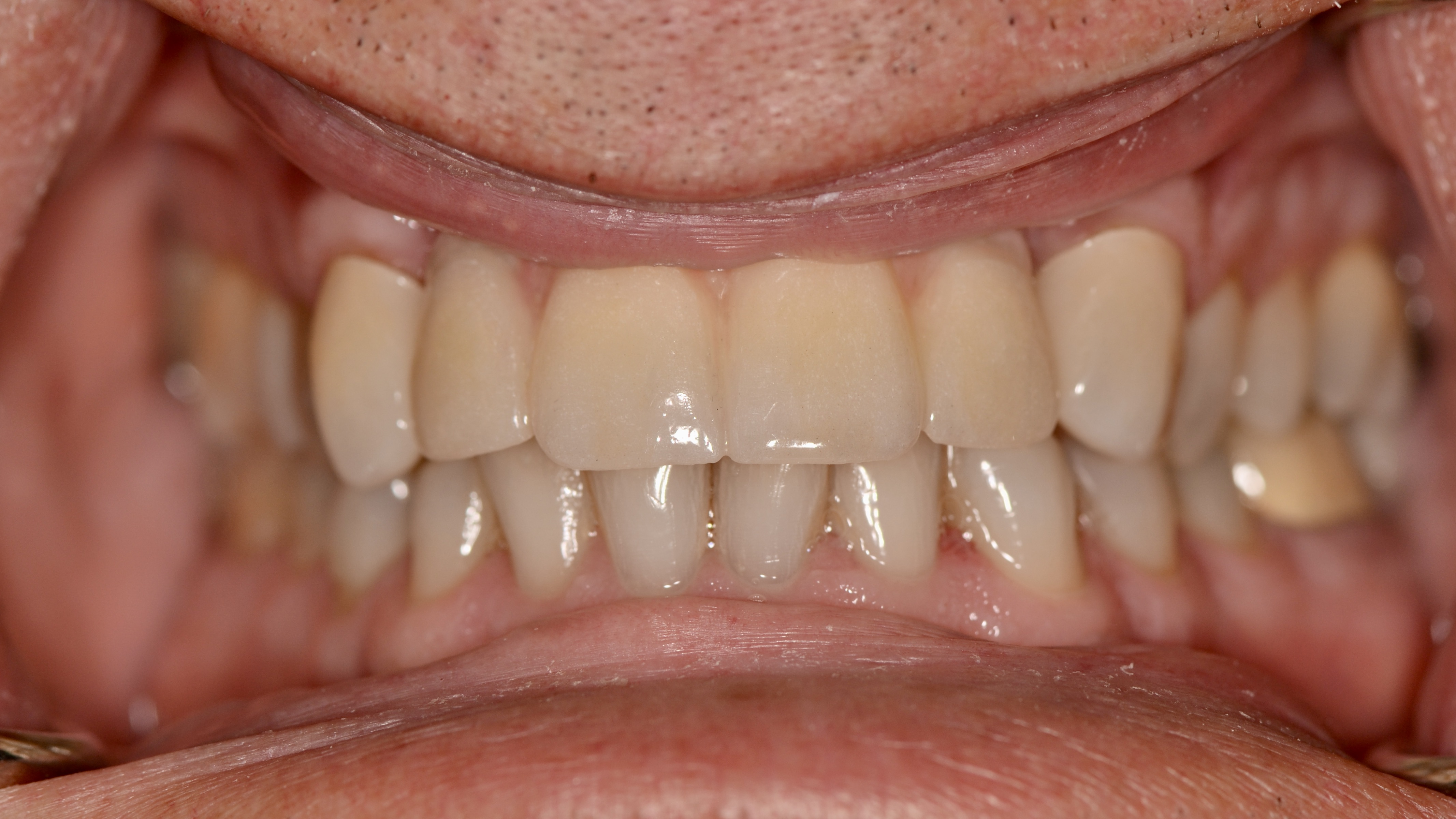
Front Tooth Crowns
Correction of color, size, shape, angulation.
Chipped Front Tooth Filling
Restored same-day with tooth-colored filling to match color and shape.
Six Front Teeth Implant Bridge and Crowns
Custom high-strength ceramic implant bridge and crowns.
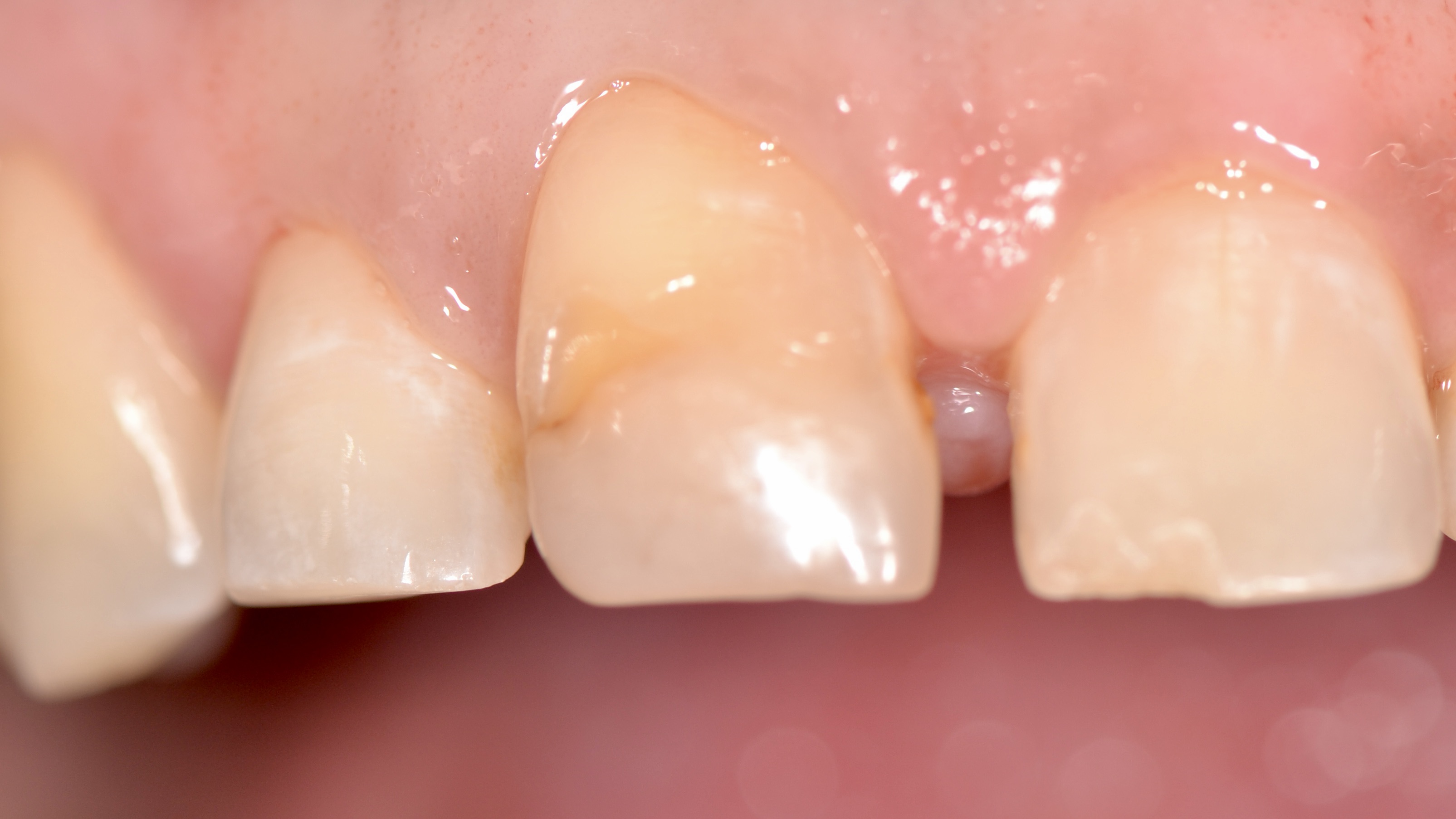
Defective Filling with Discoloration
Veneered with multi-layered tooth-colored filling.
Broken Filling with Cavity
Restored with tooth-colored filling.
Cavity Broken Metal Filling
Restored with tooth-colored filling.
Broken Tooth with Cavity
Restored with tooth-colored filling.
Fractured Tooth Broken Metal Filling
Restored foundation with tooth-colored filling prior to crown.
Guided-Surgery Same-day Implant Crown
ZimVie TSX 4.1x10mm via Z3D Guide with temporary crown.
Anterior Tooth Trauma Management
Isolation and #7, 8, 9, 10 root canal treatment.
Ceramic Bridge
#2-4 Zirconia (3Y) FDP
Atraumatic Extraction with Bone Grafting
50:50 Cortical:Cancellous Bone Graft + Resorbable Collagen Membrane
M, T, Th, F, 8:00am – 5:00pm
E: info@riverwinddental.com































