A sample of recent work.
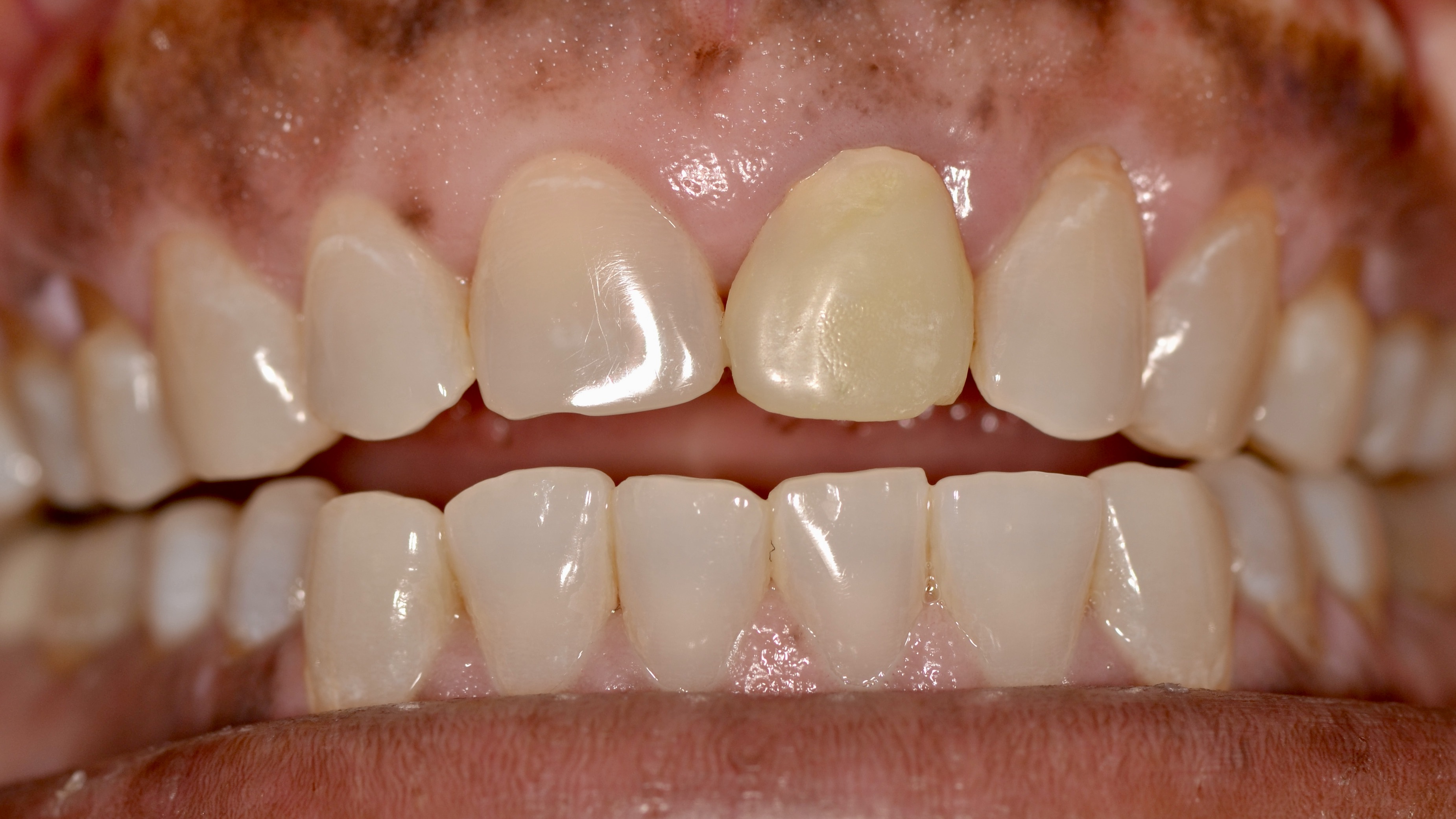
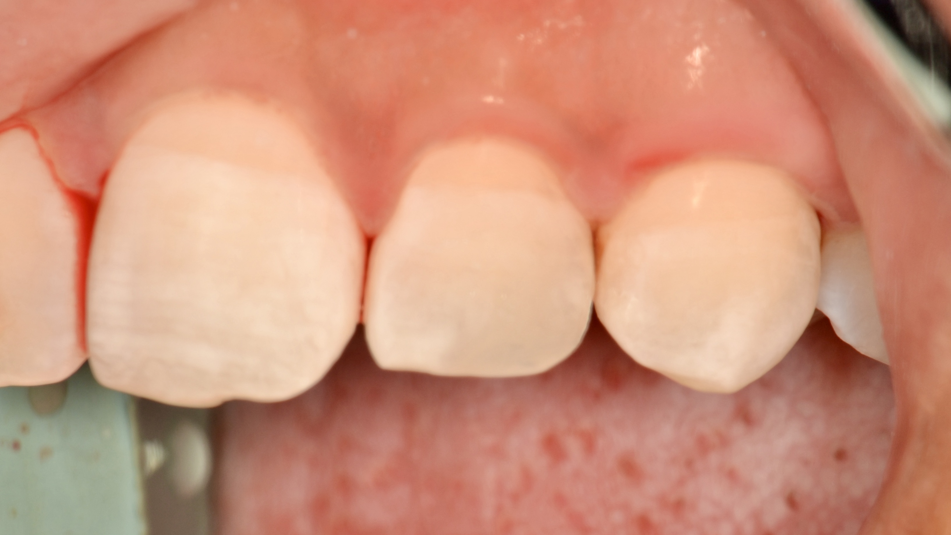
Custom Ceramic Crown


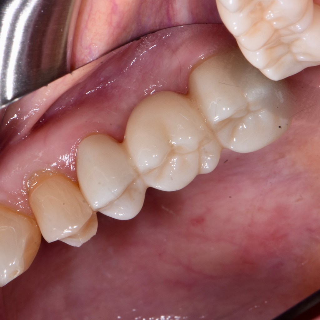
Custom Ceramic Crowns


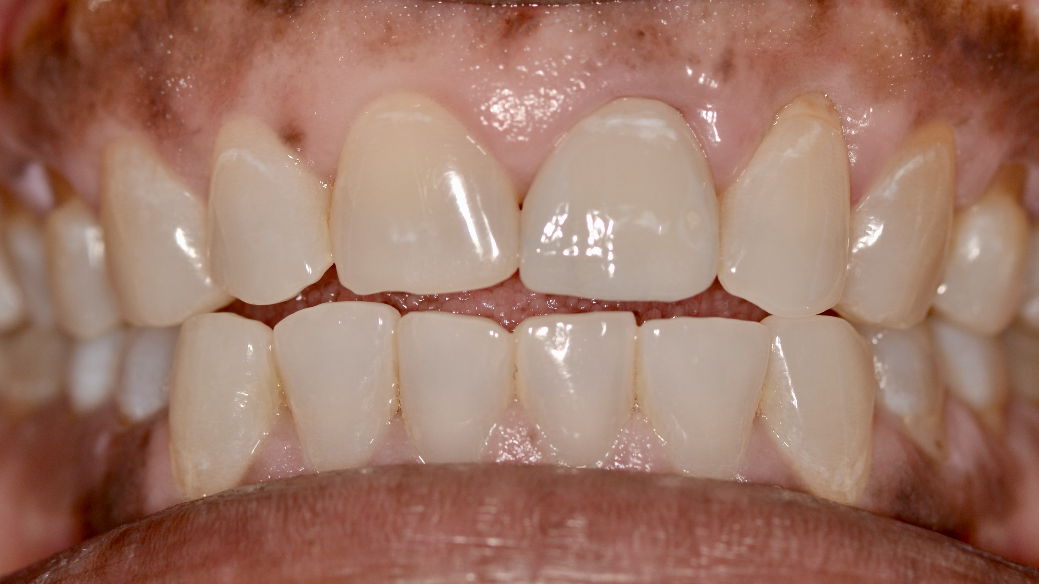
Ceramic Crown after Cracked Tooth




Chipped Front Tooth Repair


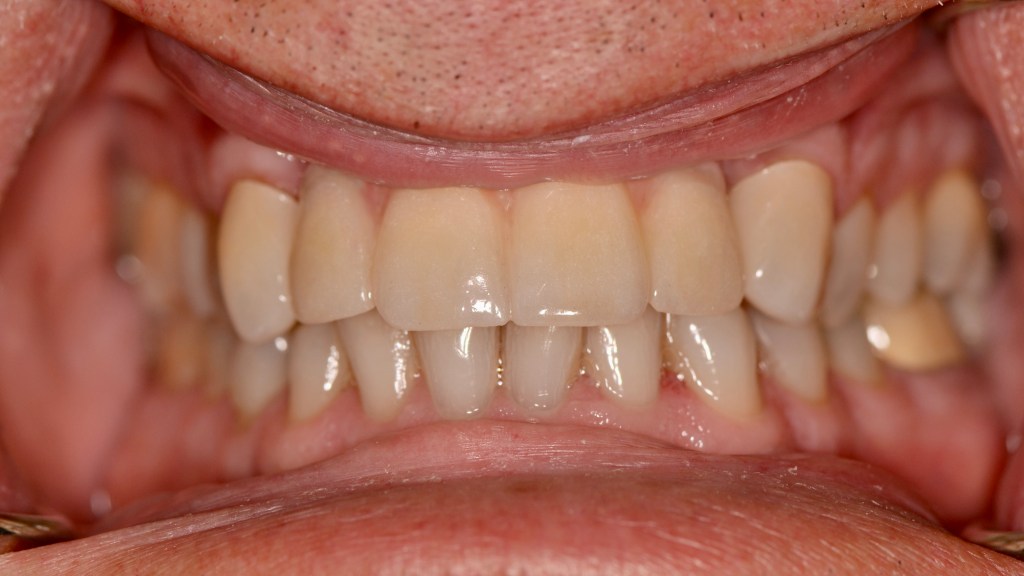
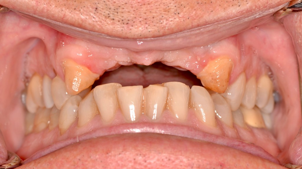
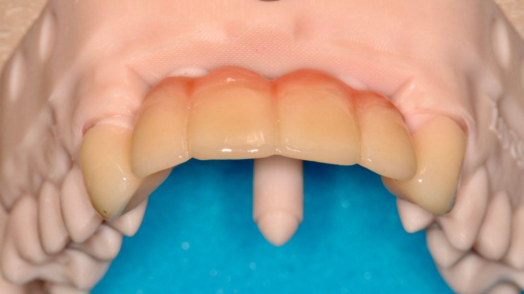
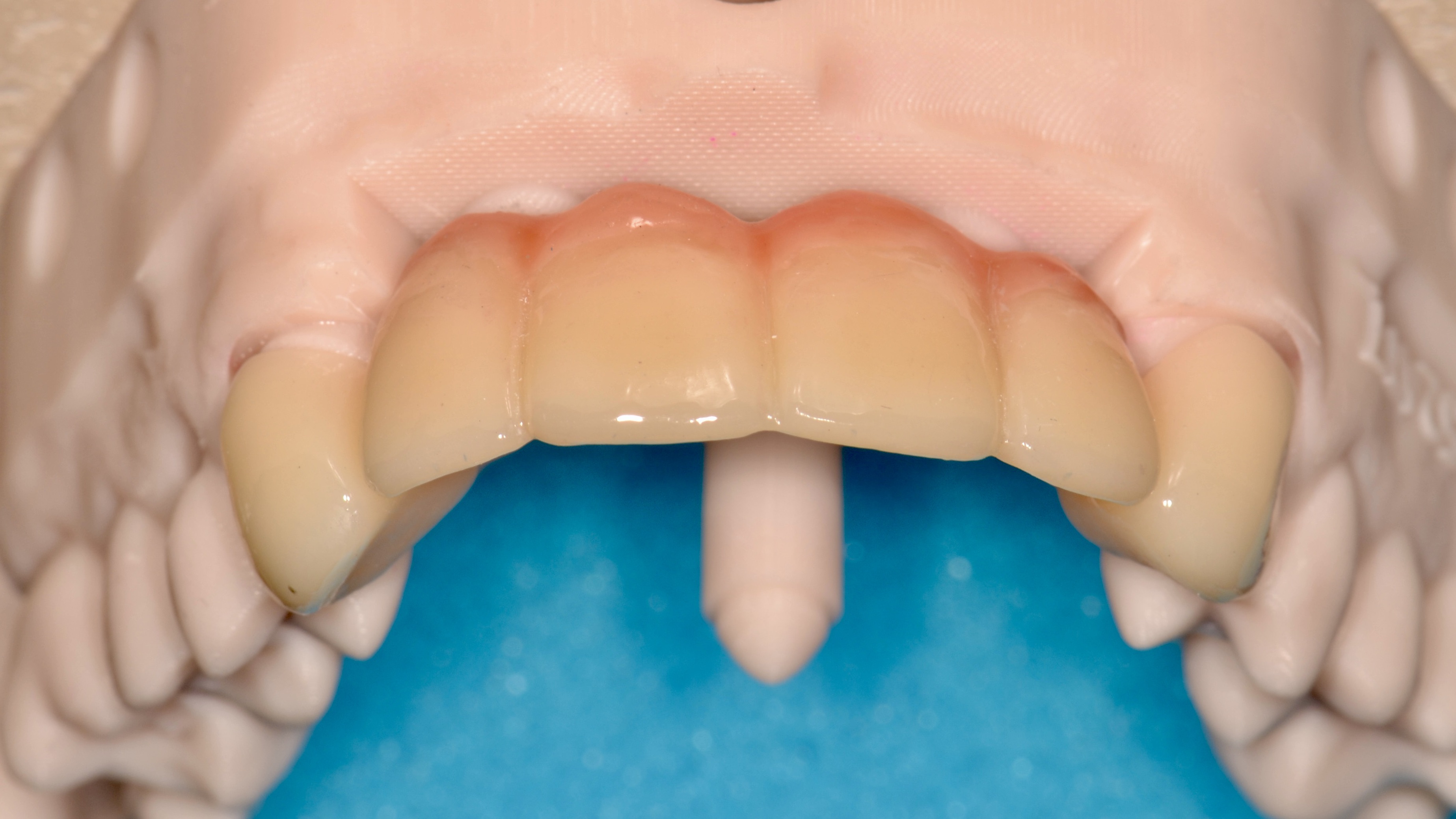
Implant Bridge and Ceramic Crowns






Composite Veneer


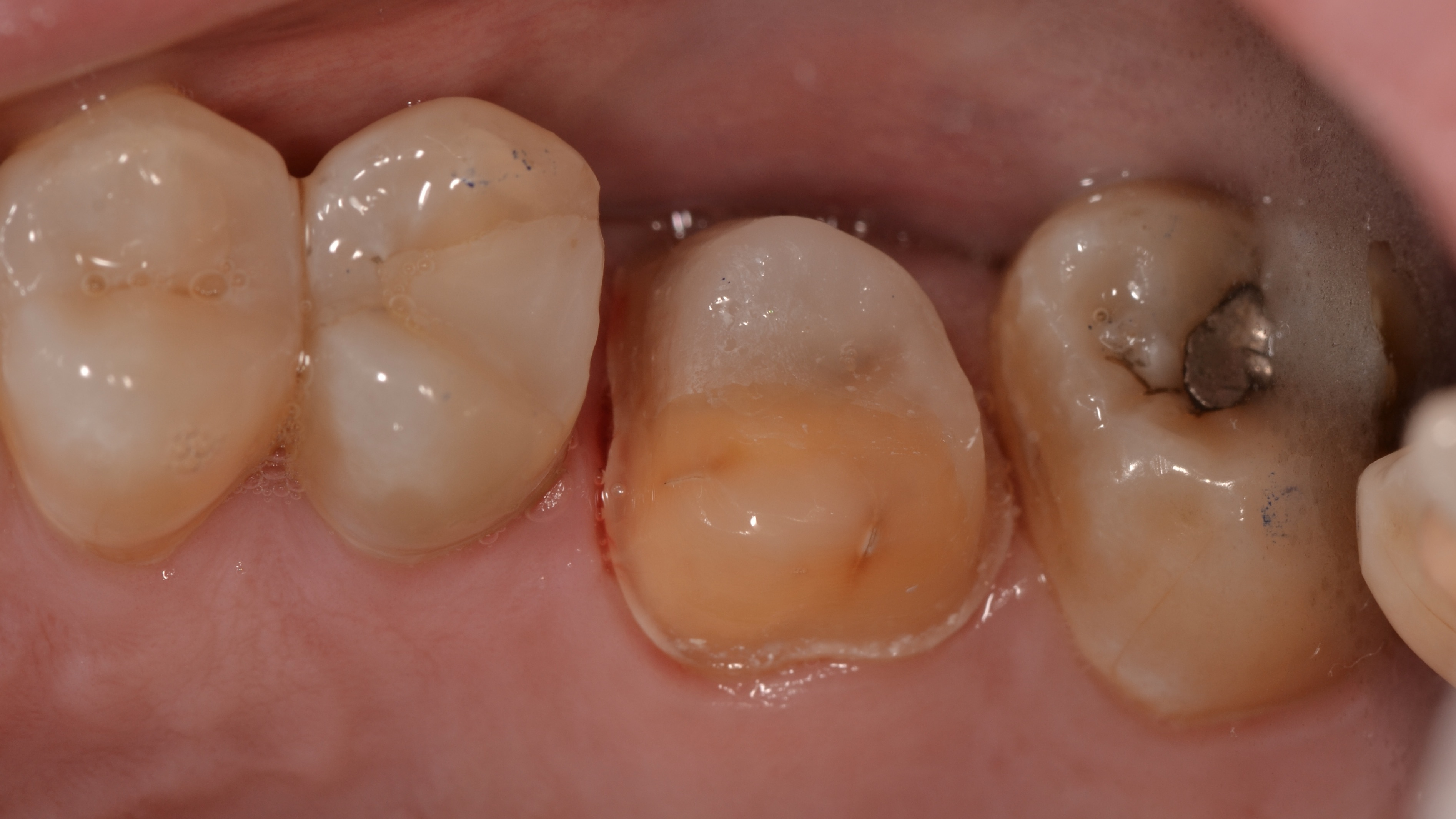
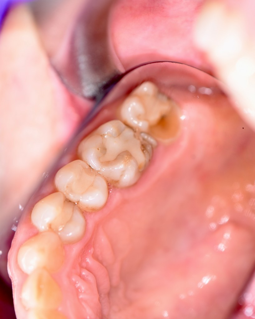
Broken Filling and Cavity Repair


Cavity Broken Metal Filling



Broken Tooth with Cavity


Fractured Tooth and Broken Metal Filling


Guided Surgery Same-day Implant Crown



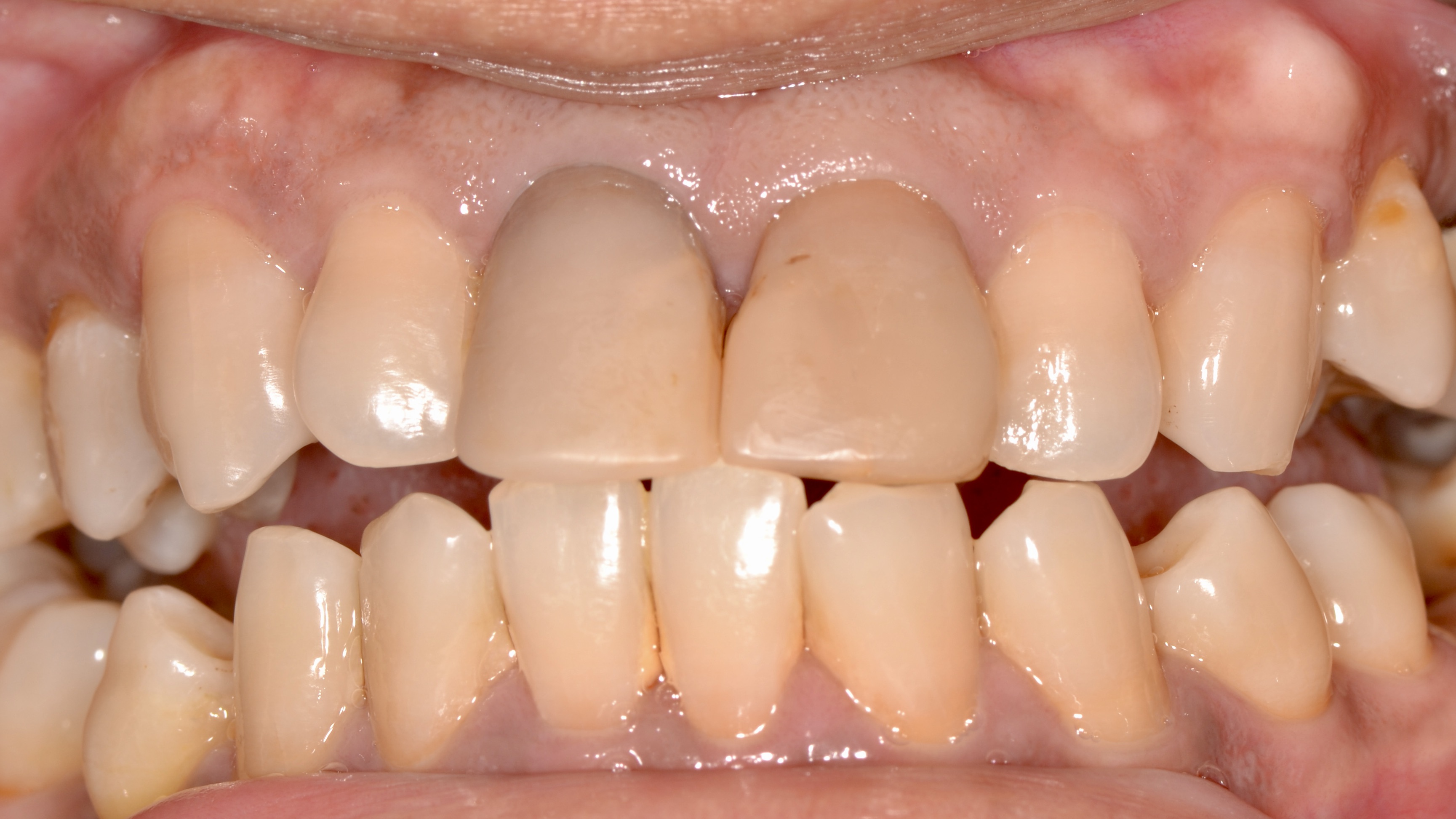
Front Tooth Trauma


Ceramic Bridge



Atraumatic Extraction with Bone Graft



M, T, Th, F, 8:00am – 5:00pm
E: info@riverwinddental.com